DETECCION PRECOZ DE ESCOLIOSIS
Voluntariado Universitario. Facultad de Ciencias Médicas. Universidad Nacional de Córdoba. Declarado de Interes por la Universidad Nacional de Córdoba. Declarado de Interes Legislativo por la Camara de Legisladores de la Provincia de Córdoba. Declarado de Interes Legislativo por la Camara de Diputados de la República Argentina
BUENOS AIRES 19 al 21 DE ABRIL 2011

“Bibliotecas y Libros. Cultura y Movimiento”
43ª Reunión Nacional de Bibliotecarios de la Republica Argentina. Feria del Libro 2011 – Buenos Aires. La Rural. Predio Ferial de Buenos Aires.
Declarada por la UNESCO
Buenos Aires CAPITAL MUNDIAL DEL LIBRO 2011
BIBLIOTECAS COMUNITARIAS ORIENTADAS HACIA LA SALUD http://www.abgra.org.ar/newsletter/images/Biblioteca_comunitaria.pdf
http://www.abgra.org.ar/newsletter/Biblioteca_comunitaria.pdf
http://www.abgra.org.ar/43_prog.htm
CORDOBA 17 DE DICIEMBRE DE 2010
CORDOBA 28 al 31 OCTUBRE DE 2010
Presentación Proyecto
2º Reunión Red Historia y Patrimonio Cultural de la Salud; 1º Congreso Interprovincial “Promoviendo el dialogo entre saberes y el acceso a las fuentes de información y conocimiento para el desarrollo social.
http://new.paho.org/arg/index.php?option=com_content&task=view&id=600&Itemid=259
http://www.consultordesalud.com/(kvjn0u55mc0k5x454uvatj45)/Noticias.aspx?ddlPaises=1&NOT_ID=15216&NTI_DESC=Organismos
http://www.fcm.unc.edu.ar/biblio/Hotmail/Folleto.pdf
CORDOBA 29 DE AGOSTO DE 2010
CENTRO VECINALES
Centro Vecinal Barrio Autodromo: Pta. Sra Noemi Zapata; Centro Vecinal Barrio Lourdes: Pte. Sr. Carlos Reyna; Centro Vecinal Villa 9 de Julio: Pte. Sr. Carlos Torres; Centro Vecinal Barrio 2 de Septiembre: Sec. Sra. Marta Ruiz; Centro Vecinal El Refugio: Sec. Sra. Mónica Lamas
JUNTAS DE PARTICIPACION CIUDADANA
J.P.C. (Junta de Participación Ciudadana) Barrio “Villa Allende Parque”; J.P.C. (Junta de Participación Ciudadana) Barrio “Rivera Indarte”; J.P.C. (Junta de Participación Ciudadana) Barrio “El Cerrito”; J.P.C. (Junta de Participación Ciudadana) Barrio KM 8; J.P.C. (Junta de Participación Ciudadana) Barrio “Los Boulevares”; J.P.C. (Junta de Participación Ciudadana) Barrio “Ampliación los Boulevares”; J.P.C. (Junta de Participación Ciudadana) Barrio “ 9 de Julio”; J.P.C. (Junta de Participaci
ón Ciudadana) Barrio “Blas Pascal”; J.P.C. (Junta de Participación Ciudadana) Barrio “Autodromo”; J.P.C. (Junta de Participación Ciudadana) Barrio “Silvano Funes”; J.P.C. (Junta de Participación Ciudadana) Cooperativa de Vivienda “22 de Mayo”; J.P.C. (Junta de Participación Ciudadana) Cooperativa de Vivienda “La Florida”; J.P.C. (Junta de Participación Ciudadana) Barrio “I.P.V. 164”; J.P.C. (Junta de Participación Ciudadana) Barrio “I.P.V. 228”; J.P.C. (Junta de Participación Ciudadana) Barrio “I.P.V. El Refugio”
ASOCIACIONES CIVILES
Asociación Civil Grupo Social Trabajo y Desarrollo: Sr. Alejandro Vegara; Asociación Civil CRE- SER: Sra. Norma Gómez
mas informacion:
CORDOBA 25 DE JUNIO DE 2010
CIUDAD DE OLIVA. PROVINCIA DE CÓRDOBA
DECLARADO DE INTERES MUNICIPAL DECRETO Nº 133/2010 http://www.fcm.unc.edu.ar/?q=node/92
ESTUDIANTES: Almeida, Emilse (Estudiante de Nutrición); Alonso, Ricardo Gabriel (Estudiante de Medicina); Arnoldt, Javier Alejandro (Estudiante de Medicina); Arriagana, Claudio Darío (Estudiante de Medicina); Báez, Maria Florencia (Estudiante de Nutrición); Barbagallo, Maximiliano José (Estudiante de Medicina); Barreto, Natalia Laura (Estudiante de Nutrición); Borgonovo, Ma. Belén (Estudiante de Nutrición); Bracamonte, Karina Andrea (Estudiante de Nutrición); Bravo, Maria Pía (Estudiante de Nutrición); Busso, Luciano Carlos (Estudiante de Kinesiología); Calzada, Verónica (Estudiante de Nutrición); Ciccone, Matías Ezequiel (Estudiante de Kinesiología); Fiereder, Gastón (Estudiante de Kinesiología); Frison Barbero, Natalia (Estudiante de Nutrición); Gómez, Juan Esteban (Estudiante de Medicina); Grisanzio, Laura (Estudiante de Nutrición); Gutiérrez, Cecilia Andrea (Estudiante de Kinesiología); Heredia Valverde, Efraín Alberto (Estudiante de Medicina); León, Ayelen Lihue (Estudiante de Nutrición); Listello, Norali (Estudiante de Nutrición); Loira, Eugenia (Estudiante de Nutrición); Maldonado, Marianela Belén (Estudiante de Nutrición); Martín, Andrea (Estudiante de Nutrición); Martínez Pécora, Daniela Ma. Laura (Estudiante de Nutrición); Melgarejo, Julieta (Estudiante de Nutrición); Mezzopeva, Sofía (Estudiante de Nutrición); Miranda, Antonella (Estudiante de Kinesiologia); Moroni, Estefanía (Estudiante de Nutrición); Muiño, Ma. Cielo(Estudiante de Nutrición); Nieto, Leila Soledad (Estudiante de Nutrición); Nikitich, Erica (Estudiante de Medicina); Olivera, Darío Ariel (Estudiante de Medicina); Oviedo, Rocío de los Ángeles (Estudiante de Medicina); Paiz, Guadalupe (Estudiante de Nutrición); Parnisari, Viviana (Estudiante de Medicina); Pereslindo, Maria Alejandra (Estudiante de Nutrición); Pinchione, Antonella (Estudiante de Nutrición); Quiroga, Julieta Lucia (Estudiante de Nutrición); Quispe Campos, Mercedes Elizabeth (Estudiante de Nutrición); Rizzo, Viviana Belén (Estudiante de Kinesiología); Rodini, Aldana (Estudiante de Nutrición); Rojas, Natali (Estudiante de Nutrición); Salto, Horacio Miguel (Estudiante de Medicina); Sella Gigli, Lucila (Estudiante de Nutrición); Sobas Camisallo, Jorge Esteban (Estudiante de Kinesiología); Suárez, Luciana (Estudiante de Nutrición); Venezia, Anabella Cecilia (Estudiante de Nutrición); Vidart, Ayelen (Estudiante de Nutrición); Zurita, Juan Gabriel (Estudiante de Medicina).-
PROFESIONALES: Med. Acosta, Maria Soledad (Medico Cirujana); Med. Ríos, Martín Gabriel (Medico Cirujano); Lic. Marcelo Masmanian (Kinesiólogo); Lic. Hernández, Cecilia (Kinesióloga)
CORDOBA 26 DE MARZO DE 2010

PROFESIONALES: Prof. Dr. Cosiansi Bai, Julio Cesar (VICE - DECANO DE LA FACULTA DE CIENCIAS MEDICAS); Prof. Dr. Martínez, David (Medico - Cirujano); Prof. Dr. Muiño, Juan Carlos (Medico - Cirujano); Prof. Dra. Keim, Maria Susana (Medica – Cirujana); Prof. Dra. Chaig. Maria Rosa (Medica - Cirujana); Med. Ríos, Martín Gabriel (Medico - Cirujano); Bioq. Otaiza, Santiago Nicolás (Bioquímico); T.L. Oliveros Alberto Leandro (Técnico en Laboratorio); T.L. Pozo Bordón Miguel José (Técnico en Laboratorio); T.L. Zambrano, Alejandra Soledad (Técnico en Laboratorio).-
Mas información:
CORDOBA 12 DE MARZO DE 2010

PROFESIONALES DE LA SALUD: Prof. Dr. Cosiansi Bai, Julio Cesar; Dr. Martinez, David; Dr. Muiño, Juan Carlos; Dra. Keim, Maria Susana; Med. Rezett, Diego; Med. Rios, Martin Gabriel; Med. Vilte Aramburu, Luis Walter; Bioq. Otaiza, Santiago Nicolas; T.L. Cuevas, Lorena Beatriz; T.L. Frias Coñocar, Gloria Belen; T.L. Guzman, Luis Rodolfo; T.L. Pozo Bordón Miguel José; T.L. Zambrano, Alejandra Soledad
CLIPS DE VIDEOS REGISTRADOS EN EL OPERATIVO
más información:
CORDOBA 3 DE MARZO DE 2010

ORGANIZACIONES PARTICIPANTES: Czervk, Natalia Elizabeth (DNI - 26.579.321. Centro Vecinal de Villa 9 de Julio); Lujan. Mercedes del Carmen (DNI - 10.903.805. Centro Vecinal de Villa 9 de Julio); Lazcano Colodrero, Sara Argentina (DNI - 20.453.304. Centro Vecinal de Villa 9 de Julio); Valverdi, Ernestina Rosa (DNI - 11.978.158 Centro Vecinal de Villa 9 de Julio); Soria, Maria Amanda ( DNI - 30.124.909 Centro Vecinal de Villa 9 de Julio); Gómez, Norma Catalina ( DNI - 11.192.505. Junta Participación Ciudadana de Villa Allende Parque); Carneiro Lamas, Mónica ( DNI - 12.995.865. Junta Participación Ciudadana de El Refugio); Zapata, Aída Noemí ( DNI -10.741.051. Presidenta del Centro Vecinal de Barrio Autodromo y de la Junta Participación Ciudadana del mismo Barrio); Reyna, Alicia Olga (DNI - 20.621.210. Fundación del Diabético); Pérez, Ivana Noelia (DNI - 29.605.290. Junta Participación Ciudadana de Cooperativa de Vivienda La Florida); Ruiz, Marta Alicia (DNI - 6.029.346. Junta Participación Ciudadana de Barrio IPV 164); Espíndola, Edith Marina (DNI - 17.530.743. Junta Participación Ciudadana de Cooperativa de Vivienda La Florida) mas información:
http://brigadas-solidarias.blogspot.com/
CORDOBA 15 DE ENERO DE 2010
El VOLUNTARIADO sigue trabajando durante el mes de enero, en esta oportunidad se realizo el examen medico a mas de 40 niños perteneciente a esta barriada que concurriran a la colonia de Vacaciones en Rio Primero localizada en el interior de la Provincia de Córdoba.
EL VOLUNTARIADO UNIVERSITARIO conjuntamente con la SUBSECRETARIA DE PARTICIPACION CIUDADANA y el CENTRO VECINAL posibilitaron la atencion medica de estos niños requirio esfuerzo y comunicación entre las diferentes entidades dando como resultado el exito esperado.
Mas Información:
http://porlosbarriosdecordoba.blogspot.com/
CAMPAÑA EN LA COMUNA DEL ROSARIO DEL SALADILLO
ESTUDIANTES: Gagliardino, Ivan (Estudiante de Medicina); Cosiansi, Cecilia (Estudiante de Medicina); Bisso, Héctor (Estudiante de Medicina); Juárez, Cintia Anabela (estudiante de Técnico en Laboratorio); Goya Llirad, Silvana Andrea (Estudiante de Bioquímica).-
PROFESIONALES: Prof. Dr. Cosiansi Bai, Julio Cesar (VICE - DECANO DE LA FACULTA DE CIENCIAS MEDICAS); Dra. Crespo Pinto, Patricia (Médica Cirujana); Dra. Keim, Maria Susana (Medica Cirujana); Med. Ríos, Martín Gabriel (Medico Cirujano); T.L. Guevara Salazar, Lidia Alejandra (Técnico en Laboratorio); T.L Rodríguez Banegas, Paula Estela (Técnico en Laboratorio); T.L. Guzmán, Luís Rodolfo (Técnico en Laboratorio); T.L. Zambrano, Alejandra Soledad (Técnico en Laboratorio); T.L Pozo Bordón Miguel José (Técnico en Laboratorio); Lic. Carpellini, Argina (Trabajadora Social).-
Necesitamos que los estudiantes de la Facultad vean la realidad de nuestro pueblo y nos ayuden a pelear contra la vinchuca…fueron las palabras de Argina una trabajadora Social que reflejaba en su rostro el cansancio y la esperanza de lograr que alguien se comprometiera y le de una mano para poder llevar una poco de esperanza a un poblado que por la distancia, el progreso y los adelantos propios de la zona urbana no logran acceder; tenemos una escuela albergue a unos 8 Km. con 32 niños.…fue la segunda frase justificando la razón que la movilizaba; Rosario del Saladillo es una comuna distante a 230 Km. de Córdoba capital y que para llegar es necesario atravesar 50 Km. en camino de tierra; tiene un dispensario, una iglesia y una plaza central, la sede de la comuna todavía sin terminar se encuentra rodeada de campos secos a consecuencias de las sequías……..
CERTAMEN PROCHEF 2009
En el marco del Programa de Voluntariado Universitario “Cuando sea grande quiero ser… sano” que depende de Cátedra Introducción a la Salud Pública de la carrera Nutrición de la Facultad de Ciencias Médicas de la Universidad Nacional de Córdoba se constituyo la iniciativa “Juntos por una Vida Saludable” organizando el CERTAMEN PROCHEF 2009 bajo el lema “Alimentación Saludable: espacio de encuentro entre la teoría y la práctica”.En esta iniciativa nuestro programa participo brindando el apoyo en la organización de dicho evento como asi tambien hermanando actividades extensionista.
http://certamenprochef2009.blogspot.com/
http://crecer-sano.blogspot.com/
¡¡¡ NOS PREPARAMOS PARA EL CERTAMEN PROCHEF 2010 !!!
CAMPAÑA EN LA CIUDAD DE SANTA MARIA DE PUNILLAS
ESTUDIANTES: Gutierrez, Cecilia Andrea (Estudiante de Kinesiología y Fisioterapia); Goméz, Juan Esteban (Estudiante de Medicina); Casal Durante, Manuel (Estudiante de Kinesiología y Fisioterapia); Valdivia Paz, Veónica (Estudiante de Kinesiología y Fisioterapia); Salto, Horacio Miguel (Estudiante de Medicina); Heredia Valverde, Efrain Alberto (Estudiante de Medicina); Guzmán, Lucía Guadalupe (Estudiante de Medicina); Olivera, Darío Ariel (Estudiante de Medicina); Meneces Bustillo, Rodrigo (Estudiante de Medicina); Irazoqui, Claudia Luciana (Estudiante de Medicina); Ortiz Lucena, María Agustina (Estudiante de Medicina); Zamboni, Bruno Ezequiel (Estudiante de Kinesiología y Fisioterapia); Venier, Yanina María (Estudiante de Kinesiología y Fisioterapia); Musso, Verónica (Estudiante de Medicina); Molina, José Ismael (Estudiante de Medicina); Gregorio, Alejandra Patricia (Estudiante de Kinesiología y Fisioterapia); Paz, Paola Andrea (Estudiante de Kinesiología y Fisioterapia).PROFESIONALES: Ríos, Martín Gabriel (Médico Cirujano); Masmanian, Marcelo (Lic. en Kinesiología y Fisioterapia); Arias, Osvaldo Rafael (Lic. en Kinesiología y Fisioterapia); Splendore, Marcela (Lic. en Kinesiología y Fisioterapia)
La importancia del control de los niños....
OPINIÓN DE LAS MAESTRAS QUE PARTICIPARON EN ESTA CAMPAÑA...
Profesora Ana Bustos Colegio Azopardo. Ciudad de Santa Maria de Punillas. Provincia de Córdoba. República Argentina
mas Información:
CAPACITACION A NUESTROS VOLUNTARIOS
Con la participación de 25 profesionales y estudiantes de la carrera de Nutrición se desarrollo la capacitación a los voluntarios qué participan en los diferentes programas del Voluntariado Nacional dependiente de la Secretaria de Políticas Universitarias de la República Argentina. En esta oportunidad el programa Cuando sea grande quiero ser sano (Directora: Lic. Vilma Cejas) trabajó en la tarea de detectar precozmente la diabetes en los niños (Enfermedades prevalentes en nuestra sociedad) utilizando tiras reactivas de un reconocido laboratorio. La participación activa de los profesionales que se suman a los diversos programas permite disminuir la tareas en el proceso de aprendizaje a los voluntarios universitario y de esa manera fortalecer el compromiso de nuestra universidad a la hora de transmitir sus conocimientos.-
Se está consensuando lo posibilidad de unificar los programas en un Mega operativo a desarrollarse en el 2010 y que tendría como centro una ciudad del interior de Córdoba....
mas información:
CORDOBA 18 DE MAYO DE 2009
Barrio Autodromo. Seccional 14. Arguello

mas información:
hppt://porlosbarriosdecordoba.blogspot.com
CÓRDOBA 2 DE MAYO DE 2009
PARTICIPANTES: Dr. Martin Gabriel Ríos (Médico Cirujano); Dra. Acosta, María Soledad (Médica Cirujana); Lic. Valdiviezo, María Eugenia (Lic. en Kiensiología); Nikitich, Erica (Estudiante de Medicina).-http://porlosbarriosdecordoba.blogspot.com
CORDOBA 16 DE ABRIL DE 2009
CORDOBA 26 DE SEPTIEMBRE DE 2008
PROFESIONALES: Lic. Marcelo Masmanian (Lic. Kinesiología y Fisioterapia); Lic. Splendore Marcela (Lic. Kinesiología y Fisioterapia); Med. Acosta, Maria Soledad (Médica Cirujana); Med. Ríos, Martín Gabriel (Medico Cirujano); Lic. Valdiviezo María Eugenia (Lic. Kinesiología y Fisioterapia); Med. Marlatto, Luciana (Médica Cirujana); Lic. Vanay, María Ivana (Lic. Kinesiología y Fisioterapia).-
Mas Información:
CORDOBA 27 DE JUNIO DE 2008
CLIPS DE IMAGENES Y VIDEOS DE LA CAMPAÑA
Mas información:
CORDOBA 18 DE ABRIL DE 2008
Departamento Rio Primero. Provincia de Córdoba
ESTUDIANTES: Vargas Rebolledo, Gisela Edith (Estudiante de Kinesiología y Fisioterapia); Aguiar, Martín Alejandro (Estudiante de Kinesiología y Fisioterapia); Alegre, Raúl Cristian Joaquín (Estudiante de Kinesiología y Fisioterapia); Ardanaz, Enrique (Estudiante de Kinesiología y Fisioterapia); Barzola, Marilina Anabella (Estudiante de Kinesiología y Fisioterapia); Casal Durante, Manuel (Estudiante de Kinesiología y Fisioterapia); Ciccone, Matías Ezequiel (Estudiante de Kinesiología y Fisioterapia); Delfino, Maria Eugenia (Estudiante de Kinesiología y Fisioterapia); Dell Erba, Walter Gabriel (Estudiante de Kinesiología y Fisioterapia); Faldin, Maite Tatiana (Estudiante de Kinesiología y Fisioterapia); Fernández Carro, Manuela (Estudiante de Kinesiología y Fisioterapia); Fernández De Sa Vera, Paula M. (Estudiante de Kinesiología y Fisioterapia); Funes, Valeria (Estudiante de Kinesiología y Fisioterapia); Garrido, Sebastián (Estudiante de Kinesiología y Fisioterapia); Gómez, Diana Rocío (Estudiante de Kinesiología y Fisioterapia); Gómez, Maria Virginia (Estudiante de Kinesiología y Fisioterapia); González Verónica Elvira (Estudiante de Kinesiología y Fisioterapia); Gunther Ambrosi, Violeta Jessie (Estudiante de Kinesiología y Fisioterapia); Huanco, Alejandro (Estudiante de Kinesiología y Fisioterapia); Ingelmo,Paula Cecilia (Estudiante de Kinesiología y Fisioterapia); López Salas, María Victoria (Estudiante de Kinesiología y Fisioterapia); López, Alfredo Ricardo (Estudiante de Kinesiología y Fisioterapia); Martínez Ferreiro, Pamela (Estudiante de Kinesiología y Fisioterapia); Pérez Leiva, Patricio Carlos (Estudiante de Kinesiología y Fisioterapia); Rodríguez, Daniel Fernando (Estudiante de Kinesiología y Fisioterapia); Stickar, Leandro Daniel (Estudiante de Kinesiología y Fisioterapia); Velásquez, Samuel (Estudiante de Kinesiología y Fisioterapia); Berastegui, Federico (Estudiante de Medicina); Maldonado, Jorge Luis (Estudiante de Medicina).-PROFESIONALES: Lic. Peralta, Diego (Lic. En Bio-Imágenes); Lic. Díaz Jofre, Andrea (Lic. Kinesiología y Fisioterapia); Lic. Marcelo Masmanian (Lic. Kinesiología y Fisioterapia); Lic. Vanay, María Ivana (Lic. Kinesiología y Fisioterapia); Lic. Splendore Marcela (Lic. Kinesiología y Fisioterapia); Med. Acosta, Maria Soledad (Médica Cirujana); Med. Ríos, Martín Gabriel (Medico Cirujano).-
CORDOBA 26 DE OCTUBRE DE 2007
Departamento Rio Segundo. Provincia de Córdoba
ESTUDIANTES: Aguilar Ariel Fabricio (Estudiante de Kinesiología y Fisioterapia); Alegre, Raúl Cristian Joaquín (Estudiante de Kinesiología y Fisioterapia); Gregorat Krebs, Alexis (Estudiante de Kinesiología y Fisioterapia); Gudiño, Jésica Marianela (Estudiante de Kinesiología y Fisioterapia); Herrera Fernández, Melisa (Estudiante de Kinesiología y Fisioterapia); Ingelmo, Paula Cecilia (Estudiante de Kinesiología y Fisioterapia); Larrañaga Carolina (Estudiante de Kinesiología y Fisioterapia); Lujan Choque, Leonor Marcela (Estudiante de Kinesiología y Fisioterapia); Maldonado, Jorge Luís (Estudiante de Medicina); Ramírez, Pamela Andrea (Estudiante de Medicina); Ravegnini, Maria Carolina (Estudiante de Kinesiología y Fisioterapia); Rodríguez, Maria Fernanda (Estudiante de Kinesiología y Fisioterapia); Sánchez Gómez, Víctor Hugo (Estudiante de Kinesiología y Fisioterapia).-
PROFESIONALES: Dr. Ríos, Martín Gabriel (Medico – Cirujano); Lic. Marcelo Masmanian (Kinesiología y Fisioterapia); Dra. Acosta, Maria Soledad (Medico – Cirujana).-
ESCOLIOSIS O DEFORMIDAD ?
El amplio termino Escoliosis comprende a toda desviación lateral de la columna. Así, la escoliosis es una deformidad más que una enfermedad especifica. Como tal, abarca diferente características, así como etiologías, patrones de deformidad o edad de origen.
Basándonos en lo conceptual, se debe destacar la importancia del conocimiento de la historia natural de la escoliosis, su diagnostico temprano en la infancia, su pronostico y
como regla, la actitud del medico general ante estos pacientes con deformidad espinal.La terminología más utilizada se refiere al tipo de curva. La escoliosis no estructurada o funcional es una curvatura lateral de la columna vertebral sin rotación de los cuerpos vertebrales, lo cual puede revestirse ya sea voluntariamente o solucionando la causa de origen, que es extra espinal. La escoliosis estructurada, por el contrario, es una curvatura lateral de la columna, irreversible, con rotación de los cuerpos vertebrales, en el área mas comprometida, la curva primaria o mayor. La escoliosis compensatoria se caracteriza por que los hombros se encuentran en el mismo nivel y centrado en relación con la pelvis. Esta característica clínica se logra por el desarrollo de curvas compensatorias por arriba y por debajo de la curva primaria o mayor. La curva de la escoliosis descompensada se presenta con un desnivel de la altura de los hombros y con lateralización del tronco hacia uno u otro lado. La mención izquierda o derecha se fundamenta en la convexidad de la curva.
CLASIFICACION ETIOLOGICA DE LA CAUSA
ESCOLIOSIS NO ESTRUCTURADA (REVERSIBLE):
a. Mala Postura habitual (Postura Escoliotica)
b. Dolor o espasmo muscular:
- Lumbalgia, Ciatalgía, Procesos Inflamatorias o Neoplásicos locales o regionales.
-Procesos Abdominales dolorosos (apendicitis y Peri nefritis)
c. Discrepancia de longitud en los miembros inferiores:
- Acortamiento real de un miembro Inferior
- Acortamiento aparente de un miembro Inferior u oblicuidad pelviana primaria
- Contractura en aducción de la cadera en el lado más corto.
- Contractura en abducción de la cadera en el lado opuesto o más largo.
ESCOLIOSIS ESTRUCTURADA (IRREVERSIBLE)
a. Escoliosis Idiopática (85% de todas las escoliosis):
Infantil: Desde el nacimiento hasta los 3 años de edad
Juvenil: Desde los 4 años hasta los 9 años
Adolescentes: Desde los 10 años hasta el fin de la pubertad.
b. Escoliosis Osteopatica:
- Congénita
- Localizada: En hemivertebra, trastornos de formación. Barra, trastornos de fragmentación
- Generalizada: Osteogénesis imperfecta, Marfan, etc.
- Adquirida
- Fracturas y Luxaciones Traumáticas y Patológicas
- Raquitismo, Osteomalacia
- Toracogenica, Enfermedad Pulmonar o torácica unilateral activa o secuelar.
c. Escoliosis Neuropatica:
- Congénita: Espina bifida con mielomeningocele, Neurofibromatosis.
- Adquirida (Escoliosis Paralítica)
- Poliomielitis
- Parálisis Cerebral
- Ataxia, Friedreich
- Siringomielia
d. Escoliosis miopatica:
- Amiotonia congénita
- Artrogriposis múltiple congénita
Todo tipo de Escoliosis estructurales previamente mencionadas representan gravedad en la evolución de la deformidad espinal y por ello merecen el control especializado del medico ortopedista.
Dada la frecuencias de la escoliosis Idiopática (85 % del total de las escoliosis) y debido a que se desarrolla en pacientes sanos, a continuación se refiere sus características mas destacadas.
ESCOLIOSIS IDIOPATICA
Incidencia y Etiología
Se lo considera una patología frecuente, con una presentación estimada en la población de 0.5 % y existe una incidencia hereditaria en el 75% de los casos estudiados.
El tipo infantil se presenta mas a menudo en los tres primeros años y por razones aun no comprendidas, tienen mayor incidencia en algunas poblaciones que en otra.
El tipo Juvenil que se presenta entre los 4 y 9 años y el del adolescente, el mas común, que aparece entre los 10 años y al final de la pubertad, tiene predominación en el sexo femenino.

Los patrones de curva más frecuente son: Toráxico Derecho y Lumbar Izquierdo.
A pesar de la continua investigación clínica y experimental sobre el tema, aun no se a aclarado su origen, y continua siendo controvertido.
Patogenia y Patología
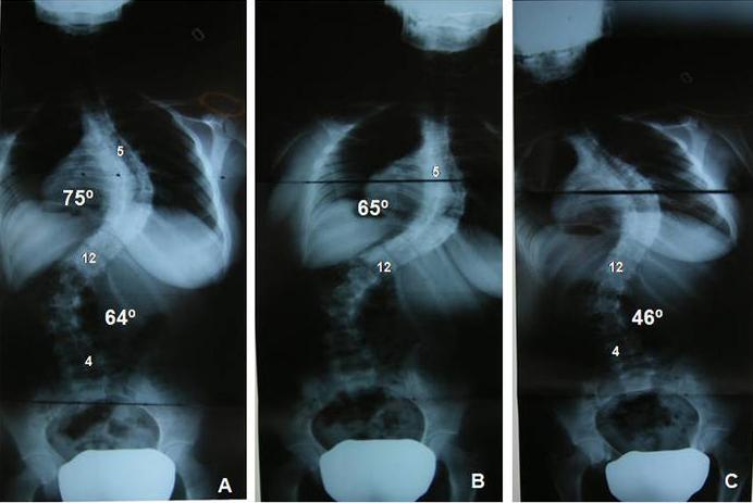
El punto más importante de la patogenia de la deformidad es su progresión con el crecimiento óseo. Paralelamente al aumento de la curvatura lateral espinal se desarrolla cambios secundarios de los arcos costales y acuñamiento, con fenómenos rotatorios de los cuerpos vertebrales. Estas deformidades debidas a la perturbación progresiva, del desarrollo espinal con cambios en la morfología, ayudan a explicar la irreversibilidad de la escoliosis estructurada. La deformación continua del segmento espinal puede agravarse en forma lenta (1º por año) aun cuando el crecimiento haya terminado, al igual que durante la gestación la velocidad de crecimiento del valor angular aumenta. Esta situación es mas frecuente cuando la curva supera los 35-40º grados.
La incongruencia articular remanente puede conducir a cambios degenerativos articulares tempranos y crear una columna dolorosa en el adulto. Más aun, la deformidad grave de la caja torácica llevar al compromiso del sistema cardiopulmonar con las consiguientes disminuciones de la expectativa de vida.
Característica Clínica y Diagnostico
La escoliosis Idiopática comienza de manera lenta, insidiosa y sin dolor. Por el ellos en los primeros estadios de la enfermedad el paciente no toma conciencia de su enfermedad. La vestimenta y los hábitos púdicos de los adolescentes limitan a los padres el reconociendo de las deformidades. Luego, en la natural evolución, estos pueden distinguir que un hombro es mas alto, que una escápula es mas prominente o que la talla de la cintura no es s
imétrica. Con el tiempo, la curvatura espinal progresa lo suficiente y puede ser reconocido fácilmente; en ese momento el valor angular se de aproximadamente 30º.Al examinar al adolescente de atrás se observa una curvatura lateral en la columna con rotación de esta deformidad se vuelve mas objetivable cuando el paciente se inclina hacia delante (maniobra de Adams).
Es necesario efectuar una semiología completa, anamnesis, examen físico y neurológico, medición de los miembros inferiores para excluir otras causas de la escoliosis.
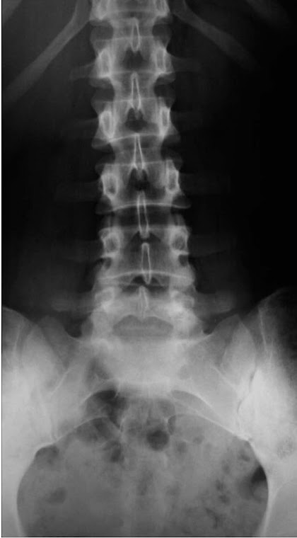
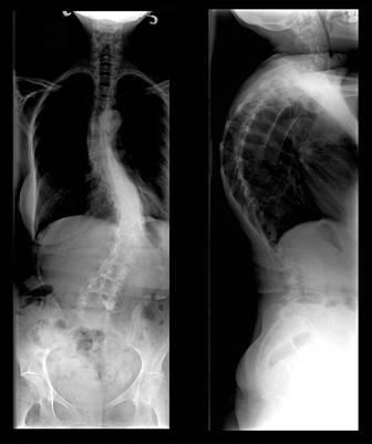
El examen radiológico, que debe incluir una radiografía de columna total T1-S1, parado y descalzo, revela una deformidad espinal más marcada de lo que se puede suponer con el examen clínico solamente.
Durante la última década, los informes estadísticos de evaluaciones médicas desarrolladas en escuelas han demostrado escoliosis en niñas de 12 a 14 años con curvaturas de 10º o mas, en mas del 2% de la población estudiada. La curvatura de menos de 10º no se considera enfermedad estructurada sino una actitud. De este 2%, solo el 0,3% requerirá tratamiento a futuro.
Felizmente, el conocimiento de la existencia de esta enfermedad hace que disminuya la posibilidad de desarrollar una curvatura grave que requiera procedimientos terapéuticos de magnitud
Pronostico
Puesto que la deformidad aumenta con el crecimiento, es obvia la importancia de la edad ósea, su relación con la edad cronológica y el crecimiento remanente. A mayor curvatura en el momento del diagnostico, mayor la posibilidad de progresión. Por ej. Una curvatura leve en una niña de 14 años puede no aumentar en forma significativa, mientras que la misma curvatura en una niña de 10 años tiene alta probabilidad de aumentar su valor angular si se considera el crecimiento remanente durante su desarrollo puberal.
PIE PLANO
Definición (Arcos Caídos; Pes Planovalgus, Pronación del Pie)
El pie plano es una afección, en la que el arco o el empeine del pie colapsan y quedan en contacto con el suelo.
El arco del pie es una estructura que se va haciendo evidente con el crecimiento, a lo largo de la primera década de la vida; no se nace con él, en algunos nunca se desarrolla.
Todos los niños pequeños hasta alrededor de los cuatro a seis años de edad tienen un pie plano que se considera normal, porque sus pies aún no han evolucionado hacia el del adulto.
Esto se debe a la hiperlaxitud de los ligamentos articulares en esta época de la vida, y a la persistencia de una almohadilla de grasa en la bóveda plantar del pie, que nos da la apariencia de un falso pie plano. Es asintomático y mejora espontáneamente.
Si pasado estos años persiste la ausencia de arco, entonces estamos ante un pie plano, que en los niños suele ser elástico y flexible; aunque con el tiempo en los adultos constituirá una deformidad rígida, producen síntomas y son los que mejor se tratan. Los pies rígidos que necesitan tratamiento pueden ser identificados por los síntomas y por la examinación del pie. Estos casos afectan siempre a los dos pies.
CAUSAS, INCIDENCIA Y FACTORES DE RIESGO
El pie plano es una condición muy común. En los bebés recién nacidos y niños que están comenzando a caminar, el arco longitudinal no se ha desarrollado y el pie plano es normal. El arco se desarrolla en la niñez y para la edad adulta, la mayoría de las personas han desarrollado arcos normales.
Si pasados estos años persiste la ausencia de arco sí que estamos ante un pie plano, que en los niños suele ser laxo, es decir elástico y flexible, aunque con el tiempo, en los adul
Los pies planos llamados rígidos en la infancia obedecen a deformidades congénitas en los huesos del pie que pueden manifestarse ya al nacimiento, como el astrágalo vertical o durante el crecimiento como las sinóstosis óseas. Estos tipos de pies son mucho menos frecuentes.
El pie plano del adulto o adquirido, se debe a múltiples causas que afectan a las distintas estructuras del pie tales como enfermedades inflamatorias reumáticas como la artritis reumatoide, gota,
Con frecuencia se acompaña de alteraciones en la normal alineación del talón, siendo lo más frecuente el desplazamiento hacia fuera del mismo o valgo – mayor desgaste de la parte de dentro del tacón del zapato -, denominándose entonces pie plano valgo.
Las principales causas del pie plano son:
hacer caminar al niño a una edad que aun no corresponde,
por efectos de una deficiencia alimenticia de la madre cuando esta gestando,
cuando no se le pone el zapato adecuado. La suela no debe ser de jebe porque son los que originan este tipo de problemas,
Factores de Riesgo
Los siguientes factores incrementan sus probabilidades de desarrollar pies planos:
Tendencia familiar
Lesiones en los pies
Enfermedades que causan un desequilibrio muscular, como la parálisis cerebral, la espina bífida o la distrofia muscular
SEÑALES Y SÍNTOMAS
La mayoría de los casos de pie plano se consideran clínicamente como una variación del pie normal, cuando el pie plano persiste. La mayoría de los pies son flexibles y el arco aparece cuando la persona se para en los dedos de los pies. El pie plano inflexible, rígido y con dolor puede estar asociado con otras condiciones y requiere atención.
La mayoría de los niños que tienen el pie plano no presentan síntomas, pero cuando éstos se presentan, varían con el tipo de pie plano. Algunas SEÑALES Y SÍNTOMAS pueden incluir:
1. Dolor, sensibilidad o calambres en el pie, la pierna y la rodilla,
2. Inclinación del talón hacia afuera,
3. Incomodidad o cambios en la forma de caminar,
4. dificultades con los zapatos, desgaste rápido de los zapatos,
5. Dificultad para correr, que indica que el pie está teniendo problemas para realizar su trabajo.
Si usted experimenta cualquiera de estos síntomas no asuma que se debe a los pies planos, estos pueden deberse a otros problemas incluyendo zapatos que no le ajustan bien.
EXÁMENES
El examen del pie es suficiente para que el médico realice el diagnóstico. Sin embargo, se debe determinar la causa subyacente.
Si se presenta arco cuando el paciente se para sobre los dedos, entonces se dice que el pie es plano y no es necesario realizar un tratamiento o hacer un seguimiento posterior.
1. El arco aparece cuando se pone de puntas
2. El tobillo puede doblarse al menos 15° hacia arriba y perpendicular a la parte baja de la pierna
3. El pie plano laxo de los niños suele ser indoloro, solo duelen en situaciones de actividad física intensa, uso de calzado inadecuado y aumento de peso. Los padres suelen darse cuenta por el desgaste excesivo de los zapatos.
4. Los pies rígidos en la infancia dan lugar a deformidades evidentes al nacimiento en algunos casos o a la disminución de la movilidad del pie y dolor en otros.
5. El pie plano del adulto suele ser doloroso dependiendo del grado de
Por el contrario, si se presenta dolor relacionado con el pie o si no se desarrolla el arco al pararse en los dedos, es necesario tomar radiografías. Si se sospecha de una coalición tarsal, a menudo, se ordena una TC y en caso de sospecharse de una lesión en el tendón de la tibia, se puede recomendar un IRM.
Tratamiento
Cuando se presenta pie plano flexible e indoloro no se requiere tratamiento, pero si se presenta dolor, se puede aliviar con la ayuda ortopédica (una sección adicional para conservar el arco que se inserta en el zapato). Dado el creciente interés por actividades atléticas, muchas tiend
El pie plano rígido o doloroso requiere de la evaluación de un médico y su tratamiento exacto depende de su causa. En caso de coalición tarsal, el tratamiento comienza con reposo y posiblemente utilización de una férula.
Si el dolor no mejora con esto, es posible que sea necesario practicar una cirugía ya sea para resecar el hueso fusionado o realmente fusionar varios huesos en una posición correcta. En caso de problemas con el tendón posterior de la tibia, el tratamiento se puede iniciar con reposo, medicamentos antiinflamatorios, una sección adicional que se inserta en el zapato o abrazaderas para los tobillos.
En casos más serios, se puede practicar una cirugía para limpiar y reparar el tendón o fusionar realmente varias de las articulaciones del pie en una posición correcta en casos sumamente avanzados.
EXPECTATIVAS (PRONÓSTICO)
La mayoría de los casos de pie plano son indoloros y se espera que no haya problemas y, de nuevo, el pronóstico de un pie plano doloroso depende de la causa de la condición. Generalmente el tratamiento tiene éxito sin importar cuál sea la causa.
En caso de requerirse una fusión, se presenta algo de pérdida de movilidad del tobillo, especialmente al girarlo hacia adentro o hacia afuera, pero a excepción de esto, los pacientes que se han sometido a una fusión han informado de un mejoramiento estupendo en el dolor y funcionalidad del pie.
Complicaciones
El pie plano realmente no está asociado con ninguna complicación excepto con el dolor. Algunas causas de pie plano se pueden tratar exitosamente sin cirugía si se descubren oportunamente, pero ocasionalmente, la cirugía es la última opción para aliviar el dolor.
A pesar de su carácter exitoso, algunas veces, la cirugía no arroja resultados satisfactorios para todos los pacientes. De hecho, algunos presentan dolor persistente y otras posibles complicaciones quirúrgicas como infección e imposibilidad de los huesos fusionados para cicatrizar.
Situaciones que requieren asistencia médica
Se debe buscar asistencia médica si se presenta dolor persistente en los pies o si un niño se queja de dolor de pie o dolor en la parte baja de la pierna.
Ejercicios para evitar el pie plano:
1. Que el niño camine con las puntas de los pies,
2. Que camine con los bordes internos y externos del pie,
3. Recoger bolitas con los dedos del pie.
Todos estos ejercicios ayudan a fortalecer y formar el arco plantar.
También es recomendable el uso de las plantillas o calzado ortopédico, de acuerdo al grado del defecto que presenta. Esto debe ser orientado por tratamiento médico, porque hacerlo sin su consulta antes de corregir el mal, lo empeoraría.
La SOCIEDAD ARGENTINA DE PEDIATRÍA menciona que el limite de lo saludable que un niño puede cargar en su mochila no debe superar el 5% de su peso corporal, es decir un niño que pesa 40 kg el peso deberá ser de 2Kg, pero la realidad supera el ideal y vemos que en la mayoría de los casos se duplica e inclusive triplica el peso ideal saludable como vemos en el gráfico.
Nuestro trabajo demostro que la mayoria de los alumnos relevados (4000 en total) concurren a la escuela portando sobre su espalda verdaderas cargas las cuales superan el peso establecido como saludable, incluso pesos que no soportaria una persona adulta durante un tiempo considerable.
A TENER EN CUENTA
Sin lugar a dudas, uno de los temas que más preocupan a los padres y madres de familia son los pesos excesivos que los escolares tienen que desplazar al colegio en sus mochilas, el aspecto más importante lo constituye las consecuencias que ésta puede tener en la espalda del niño o la niña. El desarrollo óseo del niño termina aproximadamente a los 16 ó 17 años, se puede temer que un exceso de peso soportado durante estos años, puede provocar una serie de trastornos más o menos importantes. Estos trastornos pueden, en un futuro, alterar el desarrollo óseo y la disposición normal de las estructuras y articulaciones corporales que, en mayor o menor medida, se ven perjudicadas.
LAS CONSECUENCIAS DE UNA MOCHILA PESADA……..
EN LA ESPALDA sufren las articulaciones y sus ligamentos, ya que tienen que soportar una postura de mucha tensión durante un tiempo más o menos grande. Además, como el desarrollo óseo no está terminado y la curvatura normal de la espalda, puede verse acentuada o pueden aparecer curvas en otros planos, lo que se conoce como escoliosis.
A NIVEL DE LOS HOMBROS, el niño para hacer frente al peso que tiene en la espalda, empuja sus hombros hacia adelante, lo que genera una gran tensión en la zona posterior de la parte alta de la espalda y un acortamiento de la musculatura pectoral. Pero es que este hecho afecta también a la espalda, debido a que se crea un patrón en el que el niño, al echar los hombros hacia adelante y da lugar a la aparición de una gibosidad.
En el caso de las niñas, el problema puede verse acentuado debido al proceso de desarrollo natural de la pubertad y la aparición del pecho, y que, por timidez, la niña se eche hacia adelante.
EN RELACIÓN CON LAS RODILLAS, el exceso de peso puede producir inclinación de las mismas hacia dentro genu valgo, o una inclinación hacia afuera, creando unas rodillas en paréntesis o genu varo. Estas alteraciones provocan en la articulación molestias que, si continúan, pueden apartar al crío de los juegos con sus compañeros o de la clase de educación física, por poner dos ejemplos muy frecuentes.
EN LOS PIES puede crear problemas de esguinces, hundimiento de la bóveda plantar o pie plano. También pueden aparecer dolores en la planta del pie debido a la tensión a la que se somete a los ligamentos plantares. Otro problema que sufren los escolares es que, debido al peso de la cartera, aparezca un dolor en la parte posterior del talón que aumenta cuando se le presiona con el dedo. Este dolor se debe a un trabajo excesivo del tendón de Aquiles, el cual realiza una tracción muy fuerte en su inserción con el hueso Calcáneo
La disyuntiva de si es mejor la mochila o el portafolio tradicional, pues parece inclinarse hacia el lado de la mochila porque reparte mejor el peso de los libros sobre los hombros, especialmente si las hombreras son anchas para que la presión sea uniforme. Por esta razón, las mochilas de una sola hombrera no son recomendables ya que, en este caso, la presión está muy localizada. Los carritos pueden provocar una musculatura más potente en un lado que en otro, con un patrón de rotación forzada en un lado, dejando el lado más débil propenso a diferentes lesiones. El niño, inconscientemente, tenderá a llevar el carrito siempre con el mismo brazo. Es recomendable que utilice para esto el brazo no dominante. Cuando aparece alguno de estos problemas, es recomendable acudir al médico.
RECOMENDACIONES
ES PERJUDICIAL LLEVAR CARGAS SUPERIORES AL 5% DE NUESTRO PESO CORPORAL.
1. La Mochila debera tener: dos correas acolchadas en los hombros, el tamaño que no sobrepase la cintura, sin sobrepesos, con los materiales bien equilibrados y los elementos mas pesados en la parte inferior
2. Deben ser cargados en su respectiva forma, nunca en un solo hombro y menos en una sola mano.
3. Los docentes deben distribuir mejor las materias y los horarios deben respetarse lo máximo posible.
4. Las escuelas deben hacer lo posible por mantener armarios o lockers donde se guarden los libros de texto y objetos de uso diario.
5. Los maestros deben evitar pasar los alumnos de aula intempestivamente o entre lecciones, porque ello ayuda al desorden de la carga y a malas posturas al acarrear el salveque.
6. La prevención debe aumentarse en familias con antecedentes de lumbalgias o dolores de espalda.
ALEGRE CLARIDAD DE TODAS LAS CERTIDUMBRES
EL PROYECTO EN MARCHA
Esta iniciativa comenzó a gestarse en el mes de Noviembre del 2006 a partir de una nota periodística en donde se comentaba sobre el excesivo peso de la mochila en los alumnos del ciclo escolar, en virtud a ese tema un grupo de docentes y estudiantes empezamos a idear la forma de explicar los trastornos funcionales que podría acarrear esta problemática en los niños.
Antecedentes de trabajar en forma masiva en los colegios primarios no existían desde nuestra Facultad, no como nosotros pretendíamos; en parte creemos por el temor a desarrollar una logística y una estructura que luego seria difícil de sostener económicamente y por otro lado por que había desaparecido la estimulación necesaria para desarrollar tareas comunitarias de esta envergadura...
La estructuración de este proyecto y su posterior implementación se realizo a partir de parámetros de trabajos comunitarios realizados por un grupo de Profesionales y estudiantes en el interior de Córdoba, pero con la diferencia de que en éste programa el trabajo estaría centrado en todos los niños en edad escolar.
Existen actualmente 2 proyectos en diferentes provincias que tratan de alguna manera dar alternativas de solución a esta problemática, como lo ocurrido en la Provincia de Entre Ríos a partir del Proyecto de Ley Exp. Nº 11.891 presentado por el Diputado Provincial Dr. Ferro José (08/03/2001) que tiene media Sanción por la Cámara de Diputados, este proyecto plantea la creación en todos los Hospitales Públicos de la Provincia de Entre Ríos el Servicio o Consultorio de Patologías de Columna Vertebral para Pre- púberes, estableciendo la obligatoriedad del examen medico en niños de ambos sexos, comprendidos entre los 10 y 11 años y responsabilizando a los Establecimientos Educacionales el cumplimiento de este control; otro ejemplo fue el Proyecto de Ley (Expediente 44.769) presentada por la Diputada Mirta Díaz en la Cámara de Diputados de la Provincia de Mendoza (28/02/2007), en donde se regula la fabricación y comercialización de las mochilas con la obligatoriedad de que se exhiba lo perjudicial del exceso de peso.
El desarrollo del proyecto, la capacitación a los voluntarios y el trabajo de campo en los colegios de cada una de las ciudades en donde concurrimos nos permitió fortalecer lazos institucionales con referentes sociales para que entre todos podamos buscar resultados positivos para lograr el bienestar de nuestros niños.CAMINAR ENCONTRANDO EL RUMBO
En una primera instancia NUESTRO TRABAJO estaba centrada en detectar escoliosis como resultado de las mochilas pesadas; pero a medida que llegábamos a los diversos establecimientos escolares la necesidad comunitaria empezó a ser mas amplia; ya no era el tema de las mochila pesadas sino también en muchas casos de la contención de madres y padres que recurrían a los voluntarios en busca de respuestas y soluciones a diversas problemáticas que en esos lugares se presentaban; casos de desnutrición y desamparo institucional nos permitían definir a cada momento diversas instancias de mejorar nuestro trabajo.Al inicio del proyecto comenzamos a trabajar en niños que concurrían de 5º y 6º grado, para luego ampliarlo 1º a 6º grado; los resultados fueron extraordinarios examinando a mas de 4000 niños, pero desde el aspecto social nos dimos cuenta que en muchos casos los padres desconocían esta problemática.La medición de la talla y el peso de los niños (Control de crecimiento y desarrollo); el examen semiológico de la columna vertebral (Detección Precoz de Escoliosis); la realización del examen planar a través de la Pedigrafía (Detección Precoz de Pie Plano y Patológico) nos permitió tener el diagnostico actual de cada niño; la capacitación a docentes de los colegios primarios sobre esta patología deformante y que la misma puede ser detectada a tiempo fortaleció el objetivo de que el conocimiento no pase a ser efímero y permanezca con el tiempo.De ahora en más sabemos que no estamos solos en este proyecto y creemos que es importante la participación de toda la comunidad para lograr el objetivo de UNA UNIVERSIDAD COMPROMETIDA CON LA REALIDAD SOCIAL...
IMPORTANCIA DEL PROYECTO
Visto que es una patología de alta incidencia y en muchos casos no diagnosticada a tiempo, la importancia del rol de la universidad al plantear alternativas de ATENCION PRIMARIA DE SALUD conlleva a asumir el rol protagónico en un ámbito en donde el seguimiento de los niños para lograr el bienestar es fundamental, participando activamente e interactuando con referentes que trabajan con esta población.La interacción entre Docentes – Profesionales de la Salud – Estudiantes – Maestros – Dirigentes permite realizar la contra trasferencia del conocimiento implementando a la teoría la Practica y a ésta la solución en el diagnostico precoz de patologías ya instalada en nuestra sociedad.FUNDAMENTO DEL CARACTER EXTENSIONISTA DEL PROYECTO
La sociedad en su conjunto está transitando un tiempo en el que se ven ampliadas e intensificadas las capacidades humanas, en el que potencialmente aumentan las capacidades vitales, de conocimiento, de comunicación, movimiento, disminución del dolor y aumento del placer y mantenimiento de la vida. Sin embargo y paradójicamente, también se vive en un tiempo de desesperación y dolor, de sufrimiento y miseria, de tragedia, violencia, anulación y negación de las capacidades humanas. Es una época en la que también se han intensificado las posibilidades de explotación y dominación de los seres humanos, en la que un número creciente de personas ven disminuidas cada vez más sus posibilidades de desarrollo, de extensión de sus virtualidades específicamente humanas, una época en la que vemos aumentar a nuestro alrededor el perímetro y el espacio de la destitución, la exclusión y la privatización de la explotación del otro y de la tierra, en las que las posibilidades de gozo, disfrute de los placeres y alegrías de la vida y del mundo se ven intensamente ampliadas por una parte de la humanidad, al mismo tiempo que se les niegan definitiva y despiadadamente a otros.El espíritu de este proyecto es fortalecer el idealismo de una salud para todos sin distinciones y sin que ello constituya realizaciones de carácter asistencialistas. Se trata de aportar el material humano idóneo para lograr la formación de los recursos humanos calificados, es decir, formar verdaderos agentes de prevención y promoción de la salud.El docente, junto con los alumnos integran conocimientos, los intercambian, generan instancia de reflexión critica sobre las actividades que serán ejecutadas y evaluadas en el seno de la comunidad, produciendo así el entrecruzamiento de saberes y disciplinas que convergen en la interpretación critica del modelo de salud vigente; lo que implica una compresión de sus propósitos y objetivos.El alumno deja de ser un receptáculo de la teoría, receptor enciclopedista, almacenador de datos y repetidor de información es decir un objeto de enseñanza y sé convierte en un sujeto de aprendizaje, activo, participante, creativo, conciente de la relatividad del conocimiento, de la necesidad de educación continua, capaz de emitir opinión y resolver problemas.Se aprovecha del docente la potencialidad del currículo oculto, de su fuerza educativa, de sus relaciones dentro y fuera del aula con los estudiantes y el resto de la comunidad educativa y de las relaciones de éste con la comunidad en general. Se trata de complementar el modelo Power Point de las actividades de docencia con el descubrimiento y desarrollo de ACTIVIVADES PROSOCIALES, consistentes en el estimulo de acciones que tienden a beneficiar a otros sin previsión de recompensa. Psicología Evolutiva (Darley Latene), Psicología Social (Berkowitz), Psicología de la Conducta (Masnou, Staub, Roche Olivar), Psicología de la Educación (De Bern.).La Universidad, templo del Saber, santuario intelectual asume su responsabilidad social en donde sus “verdades significativas” para la comunidad académica pasa a ser de la sociedad que cuestiona y exige el compromiso social que debe tener.Este proceso ESTUDIANTE-DOCENTE-UNIVERSIDAD-SOCIEDAD tiende a favorecer la inmersión en la realidad no solo para cambiarla sino para dejarse cambiar por ella, cuestionar profundamente los fundamentos que movilizan el saber y la formación profesional favoreciendo el compromiso social fundado en valores que se desprenden de experiencias vividas y reemplazar lo ficticio o descontextualizado del aprendizaje áulico por el “aprender haciendo y hacer aprendiendo” (Dewey, J; 1997).Es decir, se da la posibilidad al estudiante de contrastar la teoría con la practica, enfrentando la realidad con los conocimientos adquiridos, ejecutando actividades y afrontando los problemas; modificando las practicas viciadas con la implementación de análisis que surgen del intercambio de enfoques multidisciplinarios, coincidiendo con el concepto de “la profesionalidad no debe limitarse a los problemas Científicos-Técnicos de la ciencias que sustenta una profesión determina, ni debe agotarse el accionar en la actuación tecnica, sino que debe buscarse una conjugación de pensamiento y acción en el amplio contexto sociocultural” (Dacaro A. y otros 2004)
FOTOS




